CMF海水论坛

 找回密码
 注册
查看: 27114|回复: 102

加入繁殖折腾之路

    [复制链接]
发表于 2019-2-13 07:31:26 | |阅读模式 来自: 中国辽宁鞍山
本帖最后由 ange991 于 2022-3-15 23:04 编辑

养了2年的背心母鱼体长近十,开始产卵,觉得养这么久的鱼,这么多小生命刚开始就结束了有些可惜,另外也是一种玩海的乐趣,所以决定折腾一次。

目前一个月内已经起飞三批,每次三百以上的鱼苗,孵化率目测90以上,基本上产多少孵化出多少,目前苦于轮虫繁殖水平低,所以基本上无喂食,鱼苗三天死,当然就算轮虫充足也可能会死,不过困难一点点的克服,问题一步步的排出,或许就会有存活的。

深知繁殖不易,如果有位大神指点一二,感谢万分,本人穷玩拿不出几万的学费,不过如果鱼苗成活可以限期赠送,全黑背心鱼苗价值我不懂,不过应该比普通的好一些,提供关键信息的朋友也可送成活的小鱼,欢迎玩繁殖的朋友加我一起研究。

本人纯玩心态,种鱼目前不出,小鱼成活后玩够了或许考虑。





发表于 2019-2-13 07:36:05 来自手机 | 来自: 中国河南商丘
 楼主| 发表于 2019-2-13 07:36:35 来自手机 | 来自: 中国辽宁鞍山
 楼主| 发表于 2019-2-13 07:38:12 来自手机 | 来自: 中国辽宁鞍山

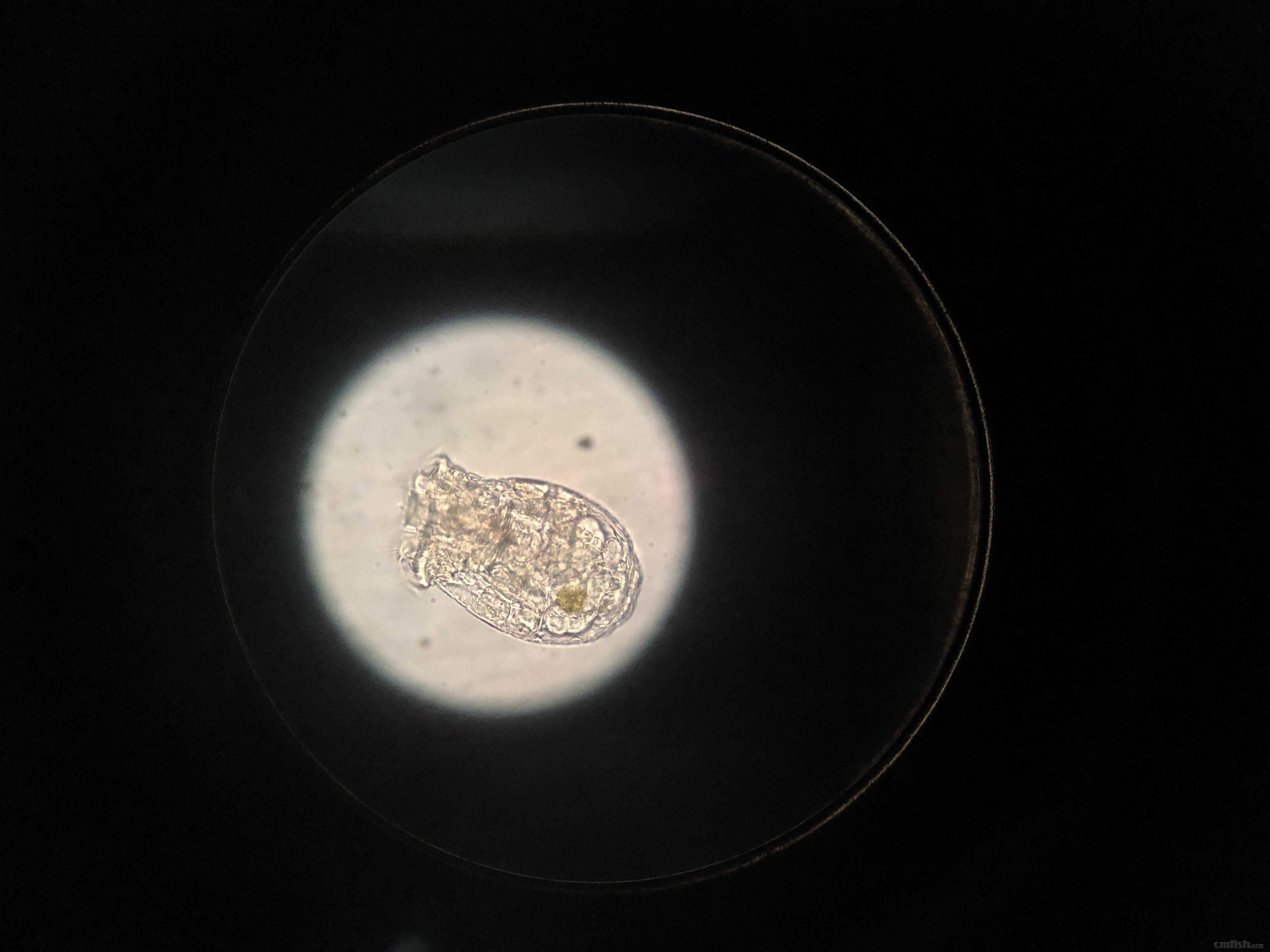
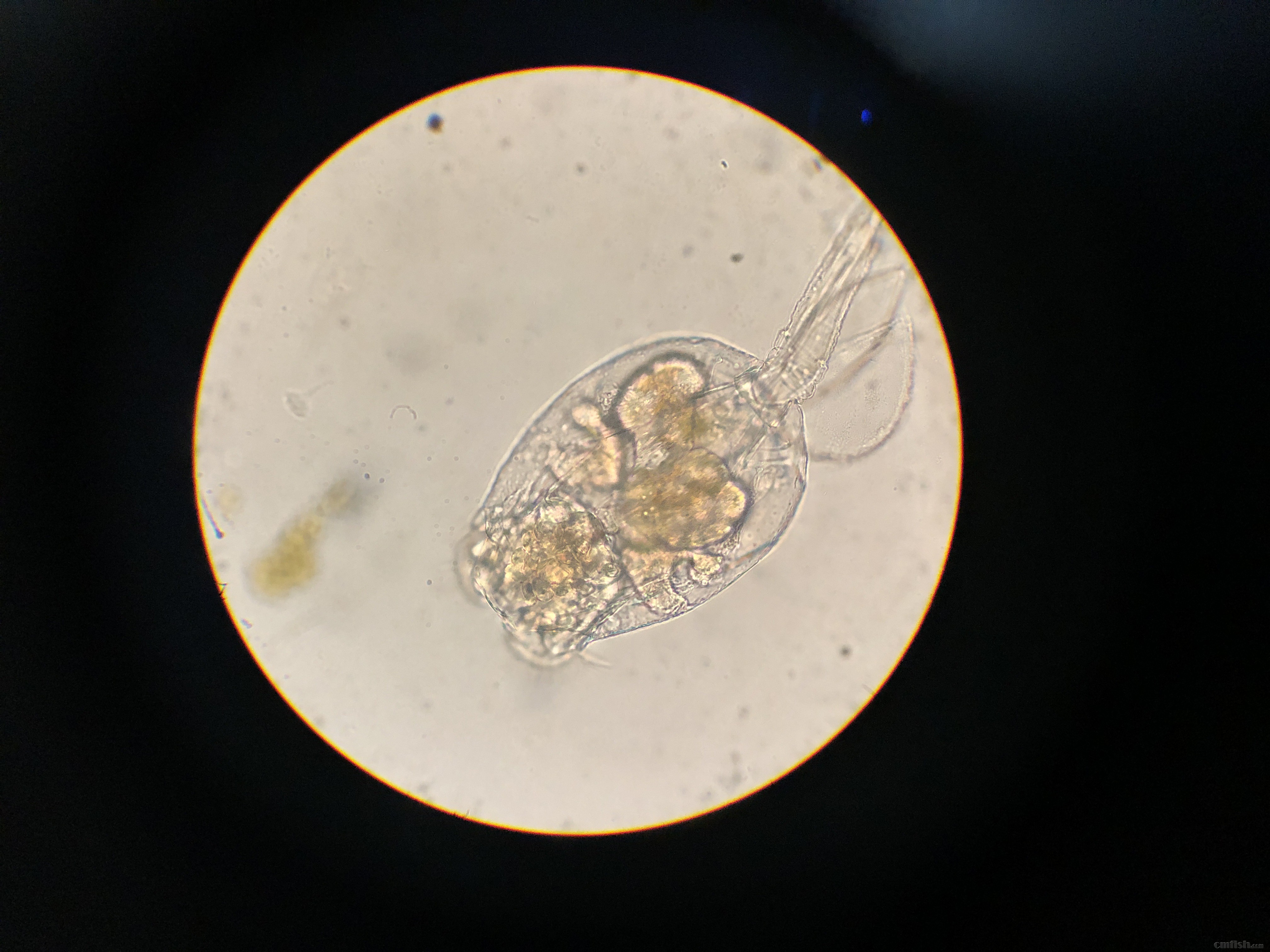
小球藻是有的,前两批轮虫回家开封即死
发表于 2019-2-13 08:26:51 来自手机 | 来自: 中国北京
你的种鱼喂的什么?
 楼主| 发表于 2019-2-13 08:47:51 来自手机 | 来自: 中国辽宁
amf蒜粮,高够力素食,部分鱼友处购买的自制颗粒
发表于 2019-2-13 11:04:11 | 来自: 中国云南昆明
 楼主| 发表于 2019-2-13 11:54:48 来自手机 | 来自: 中国辽宁鞍山
kmzhq 发表于 2019-02-13 11:04
http://www.cmfish.com/bbs/forum. ... d=440128&extra=

http://www.cmfish.com/bbs/forum. ... d=440135&extra=
http://www.cmfish.com/bbs/forum. ... d=447145&extra=
有空看看,仅供参考

感谢之前就已经拜读,现在繁殖群
 楼主| 发表于 2019-2-13 19:00:45 来自手机 | 来自: 中国辽宁
第四窝诞生
发表于 2019-2-13 23:09:12 来自手机 | 来自: 中国辽宁
 楼主| 发表于 2019-2-14 16:22:43 | 来自: 中国辽宁鞍山
 楼主| 发表于 2019-2-14 16:25:49 | 来自: 中国辽宁鞍山
漫漫学习之路,勤能补拙
2019-02-13 130023.jpg
2019-02-13 143527.jpg
2019-02-13 204725.jpg
2019-02-13 230342.jpg
2019-02-13 231001.jpg
2019-02-13 231930.jpg
发表于 2019-2-15 14:06:45 | 来自: 中国江苏南京
蛮好的
发表于 2019-2-16 17:59:52 来自手机 | 来自: 中国辽宁
 楼主| 发表于 2019-2-16 19:01:30 来自手机 | 来自: 中国辽宁鞍山
轮虫培养中
发表于 2019-2-16 19:18:47 | 来自: 中国山东东营
又是不归路啊
 楼主| 发表于 2019-2-16 23:01:03 来自手机 | 来自: 中国辽宁鞍山

不怕,我是纯玩心态,不会陷的太深
发表于 2019-2-16 23:27:52 | 来自: 中国山东青岛
每一位繁殖成功的鱼友,都是踏着小鱼尸体走出来了的!
 楼主| 发表于 2019-2-17 07:23:31 来自手机 | 来自: 中国辽宁鞍山
skxstq 发表于 2019-02-16 23:27
每一位繁殖成功的鱼友,都是踏着小鱼尸体走出来了的!

这个我明白,别说繁殖了,为了得到自己喜欢的小丑,野生的公子成鱼都死的过百了
 楼主| 发表于 2019-2-17 10:47:25 | 来自: 中国辽宁鞍山
没有大神指导,自己瞎琢磨,为了鱼苗长大想了一些办法,不一定有用但是值得尝试

这次用白点隔离盒改装了一下,拿掉两侧滤棉换成300木滤网,放在主缸与主缸水体相通,另外准备用校泵增加鱼缸内水体的交换,这样能保证水质,不过现在并不确定应该用新水或老水养鱼苗好一些,另外老水内可能会有细菌或者寄生虫,不过好处是能保证水质相对稳定。
2019-02-17 075421.jpg
2019-02-17 075427.jpg
2019-02-17 075433.jpg
发表于 2019-2-19 13:51:56 | 来自: 中国山东青岛
不好用 水面会有油膜  不如另外设缸

QQ|手机版|小黑屋|Archiver|CMF海水观赏鱼网 ( 琼ICP备12003277号 )

GMT+8, 2026-3-14 20:16 , Processed in 0.087193 second(s), 23 queries .

Powered by Discuz! X3.4 Licensed

© 2001-2023 Discuz! Team.

快速回复 返回顶部 返回列表