CMF海水论坛

 找回密码
 注册
查看: 4278|回复: 3

巴斯利尔博士鱼病特辑13丨这类寄生虫竟感染了巴西所有地区天然鱼类种群!

  [复制链接]
发表于 2019-2-25 10:54:10 | |阅读模式 来自: 中国广东广州
本帖最后由 鲲志贸易客服 于 2019-2-25 10:53 编辑

9102年第一波重口味推送来啦,你做好准备了吗?
温馨提示:密集恐惧症以及在吃东西的童鞋慎点!
先上重口图一张:

1.jpg

这是鱼的肠子吗?这是虫的天下吧!

但是这侵吞了鱼儿肠道整个江山的虫子便是我们今天讨论的主角~~图中鱼类肠道中的蠕虫,学名为“acanthocephalus”,棘头虫属。

这类寄生虫厉害着呢!据巴西研究和教学机构的研究人员调查所知,acanthocephalans是感染巴西所有地区天然鱼类种群的寄生虫,也存在于养殖鱼类中。 大量寄生虫感染可导致鱼种死亡,以及在育肥阶段养殖的鱼的生长和减重减少,因为它们缺乏食欲,并且过度消瘦。 不过幸运的是这种寄生虫对人类不构成威胁,就是影响食欲……

2.jpg



图2.acanthocephalans的标本和证明长鼻和钩的前部区域的细节(箭头)。
照片:GabrielaTomasJerônimo和Marcos Tavares-Dias

acanthocephals是专性内寄生物,具有间接的生命周期和很大的适应性,能够寄生于各类脊椎动物。

这些寄生虫在前部区域具有特征性结构,称为长鼻(图2),带有钩子,附着在鱼的肠壁上,引起上皮病变。 棘头虫acanthocephals没有消化管,吸收最终宿主(鱼)摄入的食物,因此,为了应对粮食供应,一些物种通过肠道进行迁徙。不同种类的棘头虫选择肠道的不同部分进行躲避。

3.jpg

图3:食道
照片:GabrielaTomasJerônimo和Marcos Tavares-Dias

在严重感染棘头虫acanthocephals的情况下,在大盖巨脂鲤( Tambaqui)的前肠和中间和后部都发现了幼年寄生虫和成虫(图3)。

4.jpg

图4.棘头虫生命周期的示意图。
HD:最终寄主,成年时发现寄生虫; HI:中间宿主,摄取卵(幼虫期的寄生虫);Ovos:棘头虫受精卵。
插图:GabrielaTomasJerônimo

acanthocephaly的生命周期是间接的,这意味着寄生虫需要不止一个宿主才能完成其发育阶段。 鱼是最终的寄主(HD),寄生虫寄居在它们的肠道中,它们在那里繁殖并平均生存一年。中间宿主(HI)是节肢动物,通常是甲壳动物(片脚类动物,桡足类,等足类动物或ostracoda),它们生活在水生环境中。 棘头虫的受精卵(Ovos)由鱼粪释放并保留在环境中直到它们被中间宿主摄取。
acanthocephalus的卵孵化成棘皮幼虫,这是中间宿主的感染阶段。 中间宿主和最终宿主的感染都是被动的,即宿主需要摄取感染形式而被污染(图4)。

5.jpg

图5.Neoechinorhynchus buttnerae(棘虫属的一员)的卵
照片:GabrielaTomasJerônimo

对于大多数的棘头虫来说,在感染鱼后4-8周开始产卵,并持续两个月。Neoechinorhynchus buttnerae的时期尚不清楚,但可能有人认为,在大约45天内,已进入生产系统的受感染鱼类可通过水或器具将疾病传播给其他动物,造成污染。

6.jpg

图6. 较小的大盖巨脂鲤鱼表现出病征,一种由acanthocephalus引起的病理。
照片:Santiago BenitesdePádua

根据寄生虫数量和寄主大小,感染acanthocephalus棘头虫的鱼可能表现出体重减轻,生长迟缓甚至死亡。 以大盖巨脂鲤(tambaqui)为例,一些鱼表现出病征(图5),但没有死亡。 在尸检时,严重的acanthocephalus感染显示肠壁僵硬和增厚(图1),也与粘液肠分泌有关,具有卡他性外观和黄色着色。 成年棘头虫的致病作用源于寄生虫的机械作用,通过将其长鼻附着在肠壁上。

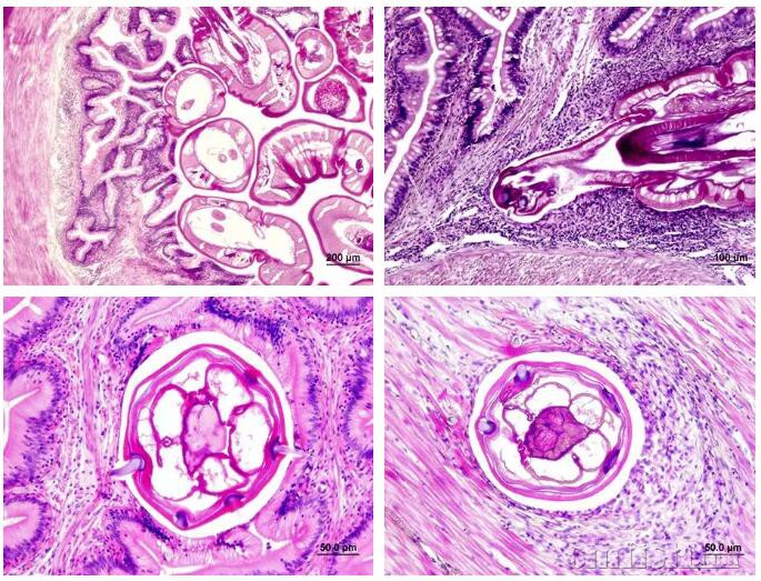
7.jpg

图7.被Neoechinorhynchus buttnerae(棘虫属的一员)感染的大盖巨脂鲤肠道的组织学分析。
(图1、2)在肠腔中存在棘头颅(AC),并且可以观察到粘膜(M),粘膜下层(SM)和肠粘膜(MM)的肌肉层。 (图3、4)N. buttnerae(CA)穿透肠粘膜下层,具有强烈的单核炎症过程(星号)。

病鱼解剖图示:

8.jpg

照片:Daniel Silva,Patricia Oliveira Maciel

虽然其他化疗国家也有治疗鱼类棘头虫的方法,但巴西目前尚无注册药物。养鱼场使用的主要产品是驱虫药,如苯并咪唑类。 然而,对于其他种类的鱼类,例如虹鳟鱼(Oncorhynchus mykiss)和鳕鱼(Gadus morhua),有报道用诸如bitionol,双羟萘酸吡咯酸盐,盐酸二甲嗪,洛哌丁胺和氯硝柳胺等产品进行处理。

一般而言,为了控制疾病,有必要在两个方面采取行动:治疗疾病本身;预防,避免进入,减少或消除再感染的机会。 然而,只有正确和早期诊断疾病才能治疗和预防。 由于大多数感染是无症状的,即鱼的临床变化无法察觉,感染通常不会导致死亡,因此有必要对养鱼场的抽样进行评估。

以上相关资料摘自:Acantocefalose – Doença negligenciada afeta peixes cultivados na Amazônia brasileira

实际上这类寄生虫感染在观赏鱼中很少发生,有的话也多在野生的鱼类中。在博士的《新版观赏鱼疾病图鉴》中对于这类寄生虫也有所介绍。

9.jpg

试图摆脱鱼类肠道蠕虫感染?尝试我们巴斯利尔博士的生物鱼食药膳系列的新成员—南瓜籽吧。

10.jpg

巴斯利尔博士的生物鱼食—南瓜籽
药膳系列的新成员,内含2%南瓜籽提取物。

南瓜籽含有很多珍贵的营养成分,能够抗炎并且促进肠道健康。特别是在治疗肠道蠕虫的过程中,建议使用南瓜籽饲料进行投喂。

11.jpg

更多资讯,关注鲲志!!

12.jpg

发表于 2019-2-25 13:18:01 来自手机 | 来自: 中国山西太原
我的七彩吊,每次投喂饲料特别能吃,但是越来越瘦,已经快成骷髅了,应该肠炎或內寄,如果宣传的有效的话,对于七彩吊,粉蓝吊,鸡心吊,这些容易肠炎內寄的鱼还是福利挺大的,有没有试用产品一是为了拯救七彩,二也是为了产品效果提供一个有利证据,确保光大鱼友的重复投资,也为产品做宣传。稍后补图
发表于 2019-2-25 13:22:04 来自手机 | 来自: 中国山西太原
脸都瘦的成骨头了
 楼主| 发表于 2019-2-27 10:39:55 | 来自: 中国广东广州
lijing644 发表于 2019-2-25 13:18
我的七彩吊,每次投喂饲料特别能吃,但是越来越瘦,已经快成骷髅了,应该肠炎或內寄,如果宣传的有效的话, ...

您好,请问您的七彩吊除了越来越瘦还有的情况吗。我们现在的产品暂时没有试用产品。

QQ|手机版|小黑屋|Archiver|CMF海水观赏鱼网 ( 琼ICP备12003277号 )

GMT+8, 2026-2-13 09:46 , Processed in 0.210653 second(s), 24 queries .

Powered by Discuz! X3.4 Licensed

© 2001-2023 Discuz! Team.

快速回复 返回顶部 返回列表